Stade initial du psoriasis : traitement, causes, symptômes et prévention

stade initial du psoriasis

Le psoriasis est une maladie cutanée chronique caractérisée par une évolution ondulante. Le plus souvent, le psoriasis se manifeste par une lésion cutanée spécifique, qui peut être localisée dans n'importe quelle zone de la peau.

Le psoriasis initial ne peut pas toujours être reconnu immédiatement. Cependant, cela est possible si l'on prête attention en temps opportun aux symptômes caractéristiques. Si vous consultez un dermatologue à temps, vous pouvez ralentir et arrêter le développement de l'éruption cutanée. Par conséquent, il est important de savoir quels signes indiquent la présence d'une pathologie.

Causes du psoriasis. Étape initiale

Il n'existe pas de données fiables à ce sujet. Le psoriasis n’est pas une maladie complètement comprise. Cependant, il existe des facteurs connus qui peuvent contribuer à son apparition :

  • prédisposition génétique (parmi les facteurs les plus courants) ;
  • dysfonctionnement du système immunitaire (provoque souvent également l'apparition de psoriasis);
  • problèmes endocriniens;
  • infection streptococcique récente (mal de gorge)
  • la présence de maladies chroniques (notamment inflammatoires) ;
  • les mauvaises habitudes telles que la dépendance à l’alcool et à la cigarette ;
  • stress fréquent.

Le psoriasis peut être trouvé chez les personnes de tout sexe et de tout âge. Toutefois, les personnes de plus de 25 à 30 ans sont plus susceptibles d’en souffrir.

Symptômes du stade initial

Avec le psoriasis au stade initial, les symptômes sont légers. Cependant, vous pouvez les remarquer.

Pour comprendre comment apparaît le psoriasis, vous devez prêter attention aux symptômes typiques suivants :

  • Sécheresse accrue et desquamation de la peau. Une personne ressent une gêne au niveau de la peau des coudes, des genoux, du bas du dos et du cuir chevelu. Toutefois, ces domaines peuvent différer d'un cas à l'autre.
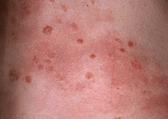
  • Présence d'éruptions spécifiques. Les petites papules rouge rosé (éléments d'éruption cutanée plats et légèrement surélevés au-dessus du niveau de la peau) avec des limites claires, fusionnant progressivement les unes avec les autres, sont typiques du psoriasis.
  • Des squames à la surface de l'éruption cutanée. Ils ont une couleur argentée ou blanchâtre. Ils s'éliminent facilement des éruptions cutanées, mais cela peut entraîner la formation de fissures ou l'apparition de sensations subjectives désagréables.

Dans certains types de psoriasis (« pustuleux »), l'éruption cutanée peut apparaître non pas sous forme de taches, mais sous la forme de petites formations convexes avec un contenu purulent à l'intérieur. Sur la photo de la forme initiale du psoriasis, vous pouvez voir comment se manifestent les différents types de psoriasis et leurs symptômes.

Dans le psoriasis des ongles, l’éruption cutanée affecte principalement la plaque. Dans ce cas, les premiers signes sont les suivants :

  • la formation de petites dépressions dans les ongles (le symptôme du « dé à coudre »)
  • modifications de la structure de la plaque de l'ongle : l'ongle s'épaissit et devient cassant
  • changement de couleur de la plaque à ongles : l'ongle peut acquérir une teinte jaune, des taches rouge orangé apparaissent sous l'ongle
  • épaississement de la peau sous l'ongle ;
  • relâchement et pelage des plaques (pas toujours);
  • petites lignes longitudinales sombres sous la plaque unguéale (symptôme non spécifique, résultant d'une hémorragie sous la plaque unguéale)
  • rougeur du trou de l'ongle.

Des photos des symptômes du stade initial du psoriasis vous aideront à mieux vous y retrouver.

Les premiers symptômes sont assez vagues et ne se manifestent pas clairement. De plus, ils ressemblent aux symptômes de certaines autres maladies dermatologiques, ce qui peut rendre le diagnostic difficile. Pour cette raison, il est extrêmement important de prendre immédiatement rendez-vous à l’hôpital pour obtenir un diagnostic plus précis.

Tous les stades du psoriasis

Il y a trois étapes clés dans le développement de la maladie :

  • Stade initial ou progressif. De nombreuses petites papules apparaissent sur la peau. Une caractéristique distinctive de ce stade de la maladie est l'apparition d'éruptions cutanées dans les zones de traumatisme cutané récent ; Sur la photo, vous pouvez voir à quoi ressemble le psoriasis au début.
  • stade progressif du psoriasis
  • Stationnaire. Les éruptions cutanées augmentent en taille et commencent à fusionner les unes avec les autres, formant de grandes plaques aux contours flous. De nouveaux éléments de l'éruption cutanée n'apparaissent pas, mais un grand nombre d'écailles se forment à la surface de l'éruption cutanée.
  • Fin. L'éruption cutanée commence à s'atténuer et disparaît progressivement d'elle-même. Il peut laisser une légère pigmentation, qui s’estompera d’elle-même avec le temps, ou une zone de couleur plus claire que la peau saine environnante.

La question se pose souvent : « Le psoriasis démange-t-il aux stades initial et tardif » ? Dans le psoriasis, les démangeaisons sont un symptôme inhabituel ; cela n'existe peut-être pas.

À chaque exacerbation, la maladie passe par les trois étapes dans l'ordre. Cependant, si le traitement est débuté dès le début de la première étape, la progression de l’éruption cutanée peut être évitée.

Pour la plupart des gens, les symptômes sont cycliques. Habituellement, lors de la prochaine épidémie, ils persistent pendant plusieurs semaines, puis s'affaiblissent progressivement et disparaissent. La forme du psoriasis précoce détermine à quoi ressemblent les photos et les symptômes réels

Traitement du stade initial du psoriasis.

Dès que vous détectez les premiers signes suspects, vous devez contacter un dermatologue.

Le psoriasis à un stade précoce nécessite un traitement médicamenteux minimal. Principalement externe.

Généralement utilisé :

  • Pommades et crèmes non hormonales. Ils constituent la base de la thérapie, puisqu’ils peuvent être utilisés à n’importe quel stade de la maladie, même en rémission. Ils agissent en douceur et n’ont souvent aucun effet secondaire. Ils soulagent la desquamation, les rougeurs, les sensations subjectives et ralentissent les processus inflammatoires.
  • Pommades et crèmes hormonales. Au stade initial de la maladie, ils sont généralement utilisés en cas d'inflammation sévère ou d'un type particulier de psoriasis (exsudatif). Ces médicaments peuvent rapidement traiter l’inflammation de la zone cutanée affectée. Cependant, les pommades et crèmes hormonales ne conviennent pas à une utilisation continue, car elles peuvent provoquer des effets secondaires en cas d'utilisation prolongée. Les photographies montreront le mieux dans quelle mesure le psoriasis commence, tant chez les adultes que chez les enfants.
  • Gels et crèmes hydratantes. Apaise et adoucit la peau. Il peut être utilisé comme soin complémentaire.
  • Complexes de vitamines. Une mesure supplémentaire pour soutenir la force et la résistance du corps aux maladies. Tout d’abord, la vitamine A est utilisée pour le psoriasis car elle affecte la division cellulaire des cellules de la peau et le processus de formation des pellicules. Au stade progressif de la maladie, les complexes multivitaminés ne sont généralement pas prescrits.
  • Procédures physiothérapeutiques. Particulièrement efficace dans les premières étapes. La photothérapie (UVB ou PUVA) est la plus couramment prescrite, ainsi que l'exposition aux excimères des rayons UV et aux lasers.

Dans la plupart des cas, les médicaments sont prescrits par un médecin. Plusieurs médicaments peuvent être utilisés en combinaison. Si les signes de la maladie sont bénins, vous pouvez vous passer de médicaments oraux et utiliser uniquement des formulations externes non hormonales.

Prévention du stade initial du psoriasis.

Les mesures préventives permettent de retarder les manifestations de la maladie et ainsi de prolonger la période de rémission. Si vous suivez les règles de prévention directement lors d’une crise, elles contribueront à réduire les symptômes et à accélérer la guérison.

Les principales mesures préventives sont :

  • Élimination du stress. Ou sa minimisation. Le stress altère fortement le fonctionnement du système nerveux, ce qui affecte gravement l’état général de l’organisme. Pour mieux gérer votre état émotionnel, vous pouvez vous inscrire à un cours de psychothérapie. Les cours peuvent être individuels ou en groupe.
  • Régime. L'alimentation doit être saine, équilibrée et contenir des aliments hypoallergéniques. La base du menu est constituée de protéines, de crudités et de produits laitiers fermentés. Vous devriez éviter la malbouffe comme les sucreries et les pâtisseries. Les aliments frits et fumés, les aliments épicés et trop salés ainsi que les aliments en conserve ne sont pas non plus les bienvenus. Sur Internet, vous pouvez trouver des photographies du psoriasis au début de la maladie et après avoir établi un régime.
  • Buvez beaucoup de liquides. Il est généralement recommandé de boire entre 1,5 et 2 litres d'eau purifiée par jour. Cependant, il est important de se concentrer sur son ressenti et de ne pas suivre aveuglément les recommandations.
  • Complexes de vitamines. Il est conseillé que les vitamines soient prescrites par un médecin, après examens.
  • Mode. Manger, se réveiller et se coucher doivent suivre un horaire. Cela permet au corps de maintenir plus facilement une activité adéquate. Il est conseillé de se lever et de se coucher tôt.
  • De l'air frais. Il est important de marcher dehors tous les jours. Il réduit le stress et est généralement bénéfique pour le corps.
  • Soins de la peau. Il vaut la peine d'utiliser périodiquement des crèmes émollientes et hydratantes. Surtout après les traitements à l'eau.
  • Des vêtements et des chaussures confortables. Fabriqué avec des matériaux naturels doux. Les chaussures doivent être bien ajustées et les vêtements doivent être amples.
  • Consultations régulières avec un médecin. Et les examens. Cela vous aidera à surveiller l'état de votre corps et à augmenter les chances de prévenir le psoriasis.

Ainsi, les photographies des symptômes du psoriasis cutané aux stades initial et ultérieur montrent clairement l'inconfort de cette maladie. Il convient donc de veiller à la prévention.

Il est important de rappeler que dans la grande majorité des cas, le psoriasis se manifeste à la suite d’un stress intense. Par conséquent, il est tout d’abord important de veiller à une humeur harmonieuse et à une routine quotidienne.